Comparative Histopathology and Immunogenicity of two Commercially available Infectious Bronchitis GI-13 Vaccine Strains in Broiler Chickens
Keywords:
Infectious bronchitis virus, GI-13, 793/B-like vaccine, ELISA, real-time RT-PCRAbstract
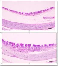
Vaccine development is a lengthy procedure, and safety and efficacy studies are crucial before and after the commercial use of a vaccine. The current research was conducted to investigate the immunogenicity and histopathological effects of two commercially produced Infectious Bronchitis vaccines from the GI-13 lineage in young chickens. Seventy-five broiler chickens were divided into three groups of 25 (groups 1-3). At 21 days of age, the chickens were vaccinated through the ocular route. The first two groups were vaccinated against IB, while the last group remained unvaccinated as a control group. Using ELISA, the humoral immune response in the form of antibodies was measured 3 weeks post-vaccination. Five days after vaccine administration, histopathology in the trachea and kidney of vaccinated and control group chickens was examined, and real-time PCR was performed to determine the RNA virus load in tracheal swabs. The results confirmed that both vaccines elicited serum antibody responses of 0.2618±0.1358 (mean OD ± standard deviation) for the first group and 0.2789±0.1164 for the second group, which were higher than those of the control group. Despite some variations between them, the difference was not significant (p>0.05). However, the 793/B-like vaccine in group 2 had much higher histopathological lesion scores in the kidney (Group 1: 2.600 ± 0.8944 and 3.800 ± 0.4472 for Group 2) and the trachea (Group 1 scored a mean of 1.800 ± 0.4472, while the second group scored a higher mean of 2.800 ± 0.8367) (P<0.05), indicating that different vaccines may cause varying changes in the microscopic structure of tissues. Real-time RT-PCR analysis with 24 and 24.42 CT values for the first and second vaccinated groups, respectively, revealed no preference for vaccine strains, indicating roughly the same viral loads. In conclusion, these findings suggest that both vaccines are immunogenic, and despite potentially having the same replication rate, one specific vaccine could be safer with less damage in target tissues in chickens. This means that choosing the right vaccine is important for control strategies and managing the health of poultry.
Downloads
Published
Issue
Section
License
Copyright (c) 2026 Hossein Hoseini, Zahra Ziafati Kafi, Alireza Bakhshi, Fahimeh Jamiri, Soroush Sarmadi, Najmeh Motamed, Nazanin Sarvan, Ali Niazi, Sepehr Salimi, Ali Shahamatifard (Author); Arash GhalyanchiLangeroudi (Corresponding Author)

This work is licensed under a Creative Commons Attribution-NonCommercial 4.0 International License.













